The Brianza-based company is hiring 30 workers through a paid talent show (which lasts a week)
Published by Monza Today
Transparent sharing of patient data can resolve even the most bizarre disputes.
Listen to it on Spotify, Amazon Music, Apple Music
What do patients look for in a dentist, and how much do new technologies influence their choices?
Listen to it on Spotify, Amazon Music, Apple Music
Advanced dental aesthetics taking care of the patient
Listen to it on Spotify, Amazon Music, Apple Music
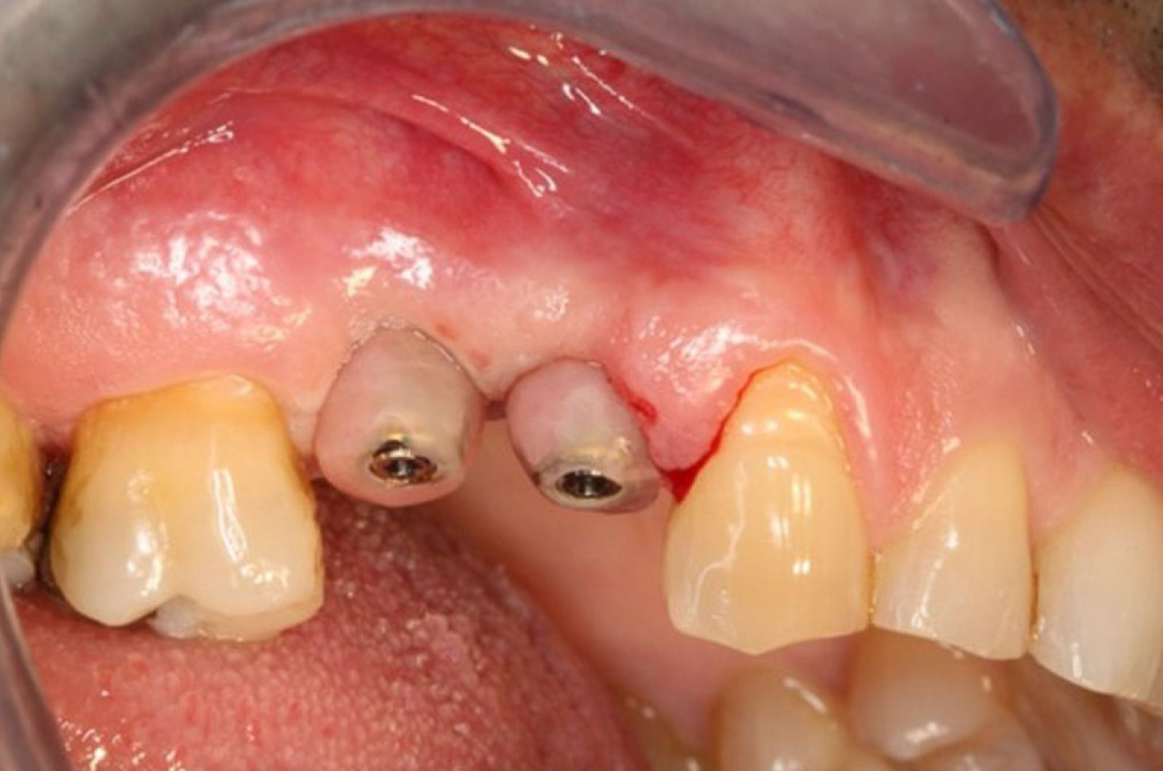
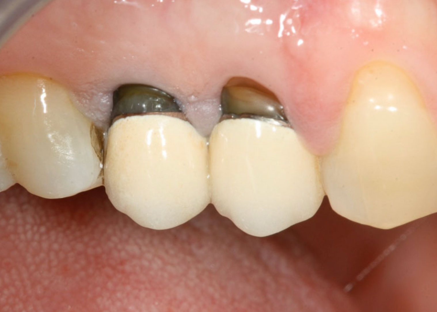
Phase 2: Surgical execution and finalization. Clinical case report by Dr. Massimo Fagnani.
Published by Odontoiatria33
Innovation Observatory: Two years of inspiration for the dentists of the future
Published by Odontoiatria33
The pioneers of guided surgery in Italy: Idi Evolution and Dr. Antonio Palladino
Published by The Modern Dentist
Expodental Special - Interview with Andrea Piantoni, IDI Evolution
Watch it on the Odontoiatria33 YouTube channel
Idi Evolution, with Chaise Longue Side digital production becomes possible in all dental practices
Published by The Modern Dentist




















